>

Microscopy

Fly Brain

Bruchpilot (purple) and Olfactory Sensory Neurons (green) innervating a glomeruli in the antennal lobe.
Bruchpilot (purple) and Olfactory Sensory Neurons (green) innervating a glomeruli in the antennal lobe.
FMRP (purple) and boutons (green) in the calyx of the Mushroom Body.
FMRP (purple) and boutons (green) in the calyx of the Mushroom Body.
Axons (red) and GFP Reconstitution Across Synaptic Partners (GRASP;green) MB=mushroom body, LH=lateral horn
Axons (red) and GFP Reconstitution Across Synaptic Partners (GRASP;green) MB=mushroom body, LH=lateral horn
Drosophila olfactory circuitry
Drosophila olfactory circuitry

Fly Neuromuscular Junction

Drosophila larval musculature. Green = Phalloidin (F-actin), Blue = HRP (presynaptic), Pink = DLG (postsynaptic)
Drosophila larval musculature. Green = Phalloidin (F-actin), Blue = HRP (presynaptic), Pink = DLG (postsynaptic)
Drosophila Neuromuscular Junction (NMJ). Green = Phalloidin (F-actin), Blue = HRP (presynaptic), Pink = DLG (postsynaptic)
Drosophila Neuromuscular Junction (NMJ). Green = Phalloidin (F-actin), Blue = HRP (presynaptic), Pink = DLG (postsynaptic)
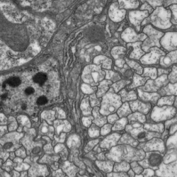
A single bouton using Transmission Electron Microscopy. SB = 500 nm
A single bouton using Transmission Electron Microscopy. SB = 500 nm